Bọc Răng Sứ Thẩm Mỹ
Bọc răng sứ thẩm mỹ là giải pháp đem lại hàm răng trắng sáng như ý cho khách hàng có răng bị nhiễm màu, đã tẩy trắng răng nhưng không hiệu quả, răng sâu, mẻ, vỡ, răng hô nhẹ, răng cần bảo vệ sau khi điều trị tủy… chỉ trong 3 ngày với 2 lần hẹn.
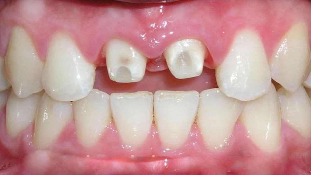
Cô, Chú, Anh, Chị đang gặp tình trạng gì?
Bạn đang gặp tình trạng gì?
Răng ố vàng
Răng nhiễm màu
Mẻ răng cửa
Răng khấp khểnh
Răng bị sâu
Răng bị hô nhẹ
Răng khấp khểnh nhẹ
Khác
ĐĂNG KÝ TƯ VẤN MIỄN PHÍ
Nhận lộ trình điều trị và chi phí trọn gói
các loại răng sứ chuyên dùng

Thành phần sườn kim loại phủ sứ
Khả năng chịu lực tốt
Thường sử dụng cho răng hàm
Chi phí hợp lý

(RĂNG TOÀN SỨ)
Thành phần 100% làm từ sứ
Thẩm mỹ đẹp, sáng, trong gợn bóng như răng thật
Cứng chắc, ăn nhai tốt
Hạn chế mảng bám trên răng
Tuổi thọ lên đến 20 năm sử dụng
CHI PHÍ BỌC RĂNG SỨ
TẠI NHA KHOA TRỒNG RĂNG SÀI GÒN
| RĂNG SỨ THẨM MỸ | GIÁ GỐC | GIÁ ƯU ĐÃI | |
| RĂNG SỨ KIM LOẠI | 30% | ||
| RĂNG SỨ KIM LOẠI THƯỜNG (BH 01 NĂM) | 1.500.000 | ||
| RĂNG SỨ KIM LOẠI TITAN (BH 03 NĂM) | 2.500.000 | ||
| RĂNG SỨ KIM LOẠI QUÝ (BH 05 NĂM) | 10.000.000 | ||
| RĂNG SỨ KHÔNG KIM LOẠI | 50% | ||
| RĂNG TOÀN SỨ ZIRCONIA UNC (HÀN QUỐC) (BH 03 NĂM) (CHỈ THỰC HIỆN 1-3 RĂNG) | 3.000.000 | ||
| RĂNG TOÀN SỨ DDBIO (ZIRCONIA BRILLIANT – ĐỨC) (BH 05 NĂM) | 4.000.000 | ||
| RĂNG TOÀN SỨ CERCON (ĐỨC) (BH 07 NĂM) | 5.000.000 | ||
| RĂNG TOÀN SỨ CERCON HT (ĐỨC) (BH 07 NĂM) | 7.000.000 | ||
| RĂNG TOÀN SỨ ZOLID (ĐỨC) (BH 10 NĂM) | 7.000.000 | ||
| RĂNG TOÀN SỨ LAVA PLUS (ĐỨC) | 8.000.000 | ||
| RĂNG SỨ CAO CẤP LISI (NHẬT) (BH 10 NĂM) | 10.000.000 | ||
QUY TRÌNH BỌC RĂNG SỨ
DIỄN RA NHƯ THẾ NÀO?





Vì sao 20.000 khách hàng
chọn Nha Khoa Trồng Răng Sài Gòn?
- Top 10 The Best of Vietnam - Hạng mục: Dịch Vụ Nha Khoa Tốt Nhất 2024
- Top 10 Nha Khoa Uy Tín Thương Hiệu Mạnh Quốc Gia 2023
- Top 03 Nha Khoa Uy Tín TPHCM được các Nền tảng Y tế bình chọn
- Đội ngũ Bác sĩ CKI, chuyên gia nha khoa thẩm mỹ 20 năm kinh nghiệm điều trị
- Thiết kế nụ cười mang tính cá nhân hóa bằng phần mềm Smile Design
- Scan dấu răng bằng máy TRIOS 3 (Đan Mạch) tỷ lệ chính xác đến 99%
- Biết trước kết quả bọc sứ ngay từ lần hẹn đầu tiên với phần mềm Treatment Simulator
- Chính sách bảo hành sứ lên đến 20 năm
- Trang thiết bị hiện đại: Máy chụp X quang Cone beam CT (Hàn Quốc), Máy Scan dấu răng TRIOS3 (Đan Mạch),...








hình ảnh trước và sau điều trị















cảm nhận từ khách hàng
Khách hàng nói gì về
nha khoa trồng răng sài gòn?
faq
Việc bọc răng sứ mang lại nhiều lợi ích, bao gồm:
- Đẹp tự nhiên: Cung cấp vẻ ngoại hình tự nhiên và đẹp mắt, che đi các khuyết điểm như răng màu, răng nứt,…
- Chịu lực tốt: Tăng cường độ bền và chịu lực tốt, giúp cải thiện chức năng ăn nhai
- Khả năng chống ố vàng: Sứ ít tồn đọng mảng bám, giảm khả năng bị ố vàng
- Cải thiện tự tin: Bọc răng sứ giúp nâng cao tự tin về nụ cười và vẻ ngoại hình tổng thể.
Quá trình làm răng sứ bao gồm nhiều bước chăm sóc và kỹ thuật để đảm bảo rằng răng sứ sẽ phù hợp và chức năng tốt.
- Kiểm tra và đánh giá
- Chuẩn bị răng
- Chụp hình ảnh và Scan
- Lập kế hoạch và thiết kế
- Chế tạo răng sứ
- Kiểm tra và điều chỉnh
- Cố định răng sứ
- Hướng dẫn chăm sóc
Quá trình bọc răng sứ thường không gây đau đớn đối với đa số bệnh nhân. Tuy nhiên, có thể có một số cảm giác không thoải mái hoặc nhức nhối nhỏ trong quá trình chuẩn bị răng và cố định răng sứ. Điều này là hoàn toàn bình thường và thường chỉ kéo dài trong một khoảng thời gian ngắn.
Để bảo quản và chăm sóc răng sứ hiệu quả, khách hàng cần tuân thủ những hướng dẫn sau:
- Hạn chế thức ăn và đồ uống gây ố vàng cho răng như cà phê, trà, rượu, thuốc lá,…
- Chăm sóc răng miệng đúng cách bằng bàn chải mềm, kem đánh răng không chứa tinh chất mài mòn.
- Tránh chất tẩy trắng mạnh có trong một số loại nước súc miệng, kem đánh răng ảnh hưởng màu sắc của sứ.
- Thăm khám nha khoa định kỳ để được bác sĩ theo dõi, làm sạch răng miệng.
- Hạn chế các hoạt động thể thao dễ gây chấn thương, nguy cơ va chạm trực tiếp
- Tránh các loại thức ăn, nước uống quá nóng hoặc quá lạnh làm suy giảm chất liệu sứ
Quá trình bọc răng sứ thường không gây đau đớn đối với đa số bệnh nhân. Tuy nhiên, có thể có một số cảm giác không thoải mái hoặc nhức nhối nhỏ trong quá trình chuẩn bị răng và cố định răng sứ. Điều này là hoàn toàn bình thường và thường chỉ kéo dài trong một khoảng thời gian ngắn.






